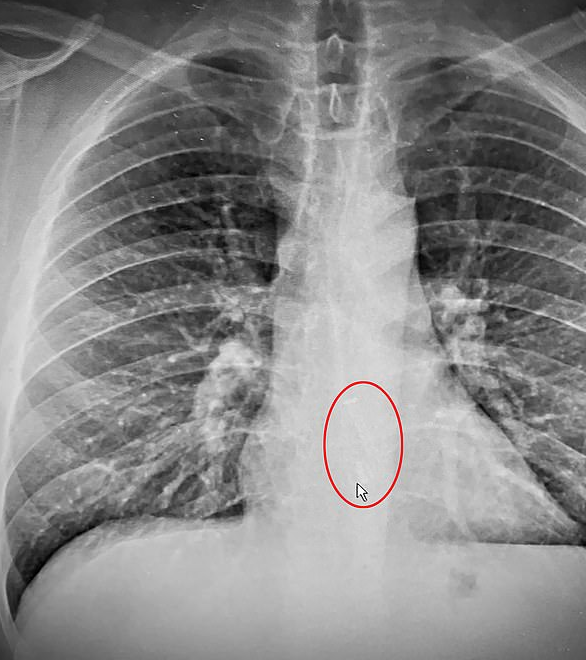
晚上戴AirPods睡着, 醒来发现耳机掉到了肚子里....
联系时请说明是在「百事通华人资讯网」上看到的,谢谢您! | |
|
|
0 人收藏
|
|
大西雅图地区需要快递员数名,线路多,单量稳定工作时间
大西雅图地区需要快递员数名,线路多,单量稳定工作时间灵活自由,联系电话:20689812 ...
請人,店在pleasanton, 奶茶店,做樓面奶茶,麻煩你 5109626789
請人,店在pleasanton, 奶茶店,做樓面奶茶,麻煩你 5109626789
伯克利市中心招聘长期的 有牌美甲师,需要会单色胶、建构猫眼,甲片延长也会更好
伯克利市中心招聘长期的 有牌美甲师,需要会单色胶、建构猫眼,甲片延长也会更好,无 ...
俄勒冈州尤金招前台,工资税后5000,包食宿。有意者请联系785-3047559,谢谢!
俄勒冈州尤金招前台,工资税后5000,包食宿。有意者请联系785-3047559,谢谢! ...
【招聘岗位】: 中餐馆招后厨、打杂 【办公地点】:Berkeley 【岗位描述】:需报税。要求能吃苦耐劳,动作麻利的。
【招聘岗位】: 中餐馆招后厨、打杂 【办公地点】:Berkeley 【岗位描述】:需报税。要 ...